Enjoy !
le pire vient après, pour la plupart ça se fait en 2 interventions. 3 mois après on "attaque" par le côté : on coupe une côte, on décolle le poumon et on pousse les organes qui sont là pour "saupoudrer" à nouveau avec de la poudre d'os afin de mieux consolider le tout. Je n'ai malheureusement pas trouvé de vidéo là-dessus. Cette deuxième fut plus dure à traverser pour moi.
j'avais 16 ans, c'est le plus souvent entre la puberté et d'adolescence que ça se fait mais oui y a des chances que tu y passes si le sport ou kiné ne te redressent pas. Par chance il semblerait qu'aujourd'hui tu puisses échapper à la cicatrice qui va de haut en bas :
Erk. Je sens que je vais passer une bonne nuit.
Plus difficile de se remettre post-opération ? D'ailleurs, comme ils decollent le poumon, j'imagine qu'il t'ait déconseillé de fumer ensuite ?
N'empeche, qu'est ce que ça a du te faire plaisir de pouvoir te tenir bien droit ensuite ! T'as du comme redécouvrir ton corps !
on vit très bien avec sans sentir le matériel ; et pour la petite blague, non je ne sonne pas aux portiques des aéroports.
j'ai jamais fumé, j'ai juste dû faire de la kiné respi pour recoller le poumon à la plèvre. C'est comme un pneumothorax mais provoqué en somme.
Oui ça m'a fait bizarre quand j'ai pu remarcher au bout que quelques semaines, j'me sentais oblique alors que pas du tout.
Sinon, même si ce "running gag" n'est plus d'actualité ici : avant je me torchais par le côté en décollant une fesse mais depuis j'le fais en écartant les cuisses. Bonne soirée et nuit.
Heureusement que Karadoc ne va pas aux toilettes. Tu ne m'auras pas avec cette image.
Bonne nuit
À 1:23 : c'est de la poudre d'os d'un autre os donneur : soit au niveau hanche ou alors on gratte sur le tibia ou péroné.
C'était ça ou être frappé par la foudre.
(parce que ça te foudroie aussi).
Sinon c'est impressionnant !
J'ai l'impression de voir le générique de l'homme qui valait trois milliards.
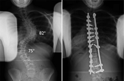
oui, pour les grosses déviations. Pour ma part j'avais une déviation de 70°, souvent c'est un double car le corps bizarrement en fait une autre de l'autre côté pour compenser. Ici une photo d'un cas plus grave que le mien encore.
